
WATCH OUR FAQ DENTAL IMPLANTS
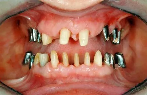
If you have a missing tooth that’s impacting your comfort or confidence, a dental implant could be your solution.
Dental implants have had a considerable impact on modern dentistry, offering a highly viable solution to replacing missing teeth.
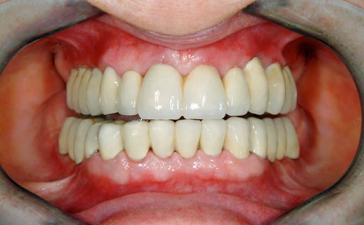
A dental implant is essentially an artificial tooth that is placed, or implanted, into your jaw where a dental crown is then capped on for a complete tooth that looks and even feels like a real tooth. The best part is that the new replacement tooth will function as seamlessly as your regular tooth.
Reasons you should consider getting a dental implant:
Missing Teeth
Dislike Dentures
Other Dental Issues
Getting a dental implant is a step-by-step journey designed to restore your smile with comfort and confidence. While each treatment plan is personalized, the process usually includes these key stages:
Your implant journey begins with a professional consultation. During this visit, the dentist reviews your oral health, takes necessary images, and discusses whether implants are the right solution for your needs.
A small titanium post is gently placed into the jawbone where the missing tooth once was. This post acts as an artificial root, giving your new tooth a stable foundation.
Over the next few months, the implant naturally bonds with your jawbone in a process called osseointegration. This step is vital for creating a strong and lasting base.
I have had a series of root canals and crowns done by South fork a few months ago. I just came in for my cleaning and the experience has been very good each time. This office is full of professionals that seem to enjoy their line of work, they don’t like hurting people, and are very good problem solvers. No complications. Very refreshing

I have always dreaded going to the dentist. I am a type one diabetic which affects your oral health and I feel so hopeless and judged when I would go to the dentist in the past. Now at south fork dentistry I don’t feel judged at all and feel super comfortable in general. My dental anxiety has severely decreased. Plus Tootsie is the cutest!
Very professional, patient focused, highly skilled. Technicians are skilled, and have state-of-the-practice equipment, making all aspects much more efficient and comfortable (X-ray, digital imaging, computer generated 3–dimensional mapping for “potential work areas.”). All of these technological advances now offers greater patient understanding of what should be addressed. This made much more information available to me as the patient. And the teeth cleaning tool technology…! It has advanced significantly in the past ten years - theirs make a routine cleaning visit a breeze. I was especially impressed with the on-site crown milling capability, making a visit for a crown a “single visit event” (my first after 50 years of faithful service by a couple molars). Staff are attentive, cheerful and focused. **Five stars.***

Born in the small town of Cumberland, Maryland, Dr. Simren Singh moved to Loudoun County at the age of 14. After attending Maryland School of Dentistry and working as far away as Sarasota, Florida, and Buffalo, New York, she is thrilled to open her own practice in the place she is proud to call home.
Dr. Singh began her career in dentistry as an associate with a large, corporate practice. While the level of care was good, she always felt like she had to rush patients. In 2022, Dr. Singh created South Fork Dentistry as a practice that truly caters to the needs of patients of all ages. This is the kind of dental practice where patients are never rushed, and there is always time to have their questions answered.
Dr. Singh loves the Purcellville area and the many outdoor adventures it offers. In her spare time, she enjoys long-distance running and recently completed her first 50-mile race! Dr. Singh enjoys visiting the local wineries and frequently runs on the nearby W&OD trail.
Along with the rest of the South Fork Dentistry team, Dr. Singh is excited to meet local families and provide the highest level of dental care for the community.


Dental implants are titanium posts placed in your jawbone that act as strong roots. Once the implant is placed and healed, we then put an artificial tooth made from Zirconia or a crown on top.
We offer two supportive options to help you feel more comfortable during your visit. The first is conscious sedation, which helps you relax while remaining awake; a prior medical consultation may be required to ensure it’s appropriate for you. The second option is the presence of a trained anxiety support dog, which can provide calming companionship throughout your appointment.
The most common reason to get a dental implant is if you're missing a tooth due to decay or perhaps you fractured the tooth. Another reason a person might consider dental implants is if dentures or bridges don't feel stable or comfortable.
The main advantage of dental implants is that they look natural and can replace missing teeth, helping you with chewing. They also preserve the jawbone and don't slip like dentures. Furthermore, they do not compromise your adjacent teeth like bridges, and they can last decades or a lifetime.
First, we will conduct a thorough dental exam to check on the teeth and the jaw. Then, we review your medical history to ensure that implants are safe and suitable for you. Finally, we create a custom plan for your smile.
We take X-rays and a 3D scan to analyze the jawbone. We also examine the mouth to see if there are any other factors we need to consider.
Certain health conditions and medications can interfere with the proper healing of an implant. It is very important that we ensure your body is ready to support an implant.
We consider various factors such as your oral health, bone density, the number of missing teeth, your budget, and your lifestyle.
First, the tooth is removed if needed. Sometimes, to prepare the jawbone for an implant, we place a bone graft. A few months after that's all healed, we place the implant post in the jawbone. Next is the healing phase, where we wait for the implant to heal and become part of the jawbone. Once you're healed, you are ready for the artificial tooth or crown to be put on top. Then you are all done and ready to enjoy your smile.